DESVIOS DO ALINHAMENTO DOS MEMBROS INFERIORES


Desvios nos joelhos, como varo (joelhos para fora) e valgo (joelhos para dentro), são comuns em certas fases do crescimento infantil e geralmente corrigem espontaneamente. No entanto, casos persistentes, assimétricos ou progressivos exigem avaliação ortopédica detalhada, com exames clínicos e radiológicos.

Desvios do alinhamento dos membros inferiores - Ana Paula Tedesco - Caxias do Sul/POA-RS

evolução do alinhamento dos membros inferiores em crianças normais


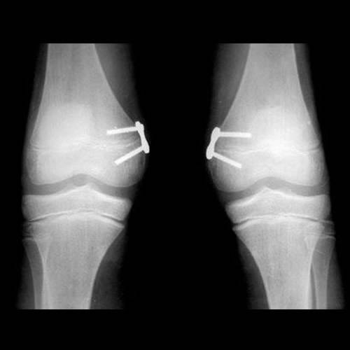
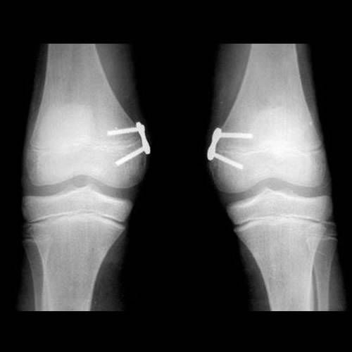
Quando há alterações estruturais sem tendência de correção natural, pode ser indicado o tratamento com cirurgia de crescimento guiado, técnica minimamente invasiva que utiliza placas metálicas para corrigir o alinhamento com o próprio crescimento da criança.
O acompanhamento regular com o ortopedista pediátrico é essencial para monitorar a evolução do caso e identificar o tempo ideal para intervenção, quando necessária. Cada criança é única, e decisões individualizadas são fundamentais para garantir o melhor resultado funcional e estético, com o menor impacto possível.

Mais informações?

Descreva nos campos a seguir

Rua Gal. Arcy da Rocha Nóbrega, 401 / 601 - CEP: 95.040-000 - Caxias do Sul - RS
(54) 3228.6393 - WhatsApp: (54) 99266-7253
© Copyright 2025 | Dra. Ana Paula Tedesco | Todos os direitos reservados.

This site was designed with Mobirise